Dr med dent Tatjana Knego
Ordinacija za opću dentalnu medicinu,
ortodonciju, oralnu kirurgiju i rtg-ortopan
"Dental Estetic Studio dr. Tatjane Knego poznata je dentalna klinika u najužem centru Zagreba i godinama popularna po vrhunskoj protetici, najboljim implantatima i make-overima izuzetne prirodne estetike.
Minimalno invazivna stomatologija danas zauzima značajno mjesto u stomatologiji gdje uz nikakvo ili minimalno brušenje zuba, kakvo je potrebno za ljuskice, čuvamo zubno tkivo a postižemo izvrsne estetske i funkcionalne rezultate. Dr Knego posebnu pažnju daje takoj vrsti moderne stomatologije, a njezino iskustvo sa ljuskicama traje preko deset godina.
Zubne ljuskice su izrađene od tankog staklenog porculana ili Emax-a i prekrivaju prednju stijenku zuba kada želimo riješiti problem estetike, krivog položaja zubi, diskoloracija, dijastema, blage traume zuba. Glavni uvjet je da zub nema velike kompozitne ispune. Proces izrade traje 3-5 dana i za to vrijeme imate provizorne ljuskice koje štite brušeni zub i koje vam omogućuju normalno funkcioniranje, a estetski su prihvatljive. Cementiraju se posebnim cementima i kod samog cementiranja potrebno je ogromno iskustvo jer ono treba biti izrazito precizno kako bi krajnji rezultat bio osmjeh vrhunske prirodnosti i trajnosti.
Porculanske ljuskice ne zadržavaju na sebi nikakve pigmente niti obojenja npr. od cigareta i kave jer su jako glatke, a zbog jake prozirnosti izgledaju potpuno prirodno Možemo prije stavljanja ljuskica izbjeliti okolne zube kako bi dobili skladnu cjelinu i svježiji i ljepši osmjeh.
NON PREP tehniku brušenja koristimo pri izradi LAMINATA, to su ljuskice kod kojih ne brusimo zub već ga samo presvučemo izrazito tankim ljuskicama. Na taj način maksimalno čuvamo zub a postižemo predivnu estetiku, naravno ako je moguće staviti laminate. Laminatima lagano podebljavamo zube i dajemo volumen osmjehu pa ako nam to nije cilj izrađujemo ljuskice kojima se zadržava tankoća zubi.

LJUSKICE - Make over ljuskicama gornje i donje čeljusti.

Ljuskice na jedinicama i dvojkama

Ljuskice na gornjim i donjim zubima.
Faze izrade ljuskica: prije brušenja, neznatno brušeni zubi, otisak, gotove ljuskice.
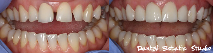
Ljuskice na gornjim i donjim zubima
Ljuskice na gornjim i donjim zubima