Dr med dent Tatjana Knego
Ordinacija za opću dentalnu medicinu,
ortodonciju, oralnu kirurgiju i rtg-ortopan
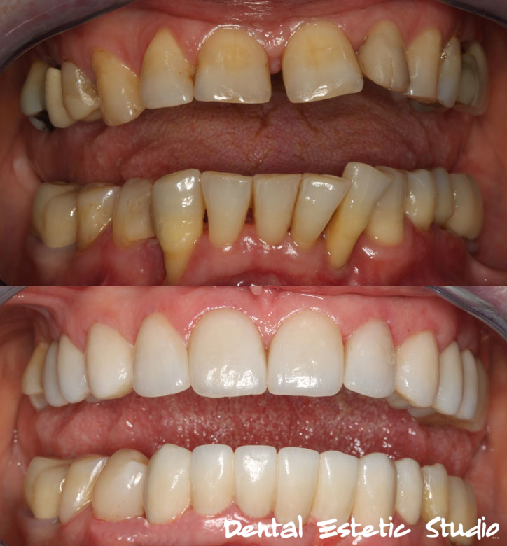
Protetika zauzima vodeće mjesto u našoj stomatološkoj ordinaciji u Zagrebu, radimo sve vrste protetike, posebno bezmetalnu protetiku, protetiku na implantatima, all-on-four protetiku kod bezubih čeljusti na 4 implantata, te sve vrste proteza. Dr Knego ima ogromno iskustvo iz područja stomatološke protetike i pobornik je biokompatibilne bezmetalne protetike, kao što su stakleno porculanske navlake, cirkon ili Emax ovisno kakav rezultat želimo postići. Takva protetika izrađuje se kompjuteriziranim sustavom u laboratoriju. Takvi radovi su izuzetno kvalitetni i vrhunske prirodne estetike.
CAD/CAM BEZMETALNA PROTETIKA svakim danom sve više zamjenjuje metal-porculanske navlake i mostove. Takva protetika izrađuje se kompjuteriziranim sustavom u laboratoriju iz nekoliko vrsta materijala koje biramo prema tome što želimo postići: estetiku, transparentnost ili čvrstoću:
- cirkon - E-Max - staklo/porculanPrednosti kompjuterizirane bezmetalne protetike:
- nema metala - visoka estetika - preciznost izrade - biokompatibilnostPROVIZORNE NAVLAKE I MOSTOVI pacijent dobija odmah nakon brušenja ili skidanja stare protetike da može 7-10 dana normalno funkcionirati u svojoj sredini dok traje izrada u laboratoriju. Kod nas u ordinaciji su uključeni u cijenu protetike.
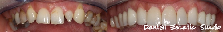
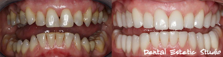
Kombinacija bezmetalne protetike i ljuskica.

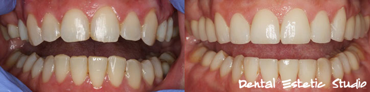
Kombinacija bezmetalne protetike i ljuskica

Pacijentica je željela ljepši i izuzetno prirodan osmjeh koji je dobiven ljuskicama i bezmetalnim navlakama.

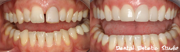
Kombinacija ortodontske terapije, ljuskica i navlaka u CAD/CAM tehnici.